Американские исследователи изучили реакцию клеток на внешние механические воздействия. Оказалось, что жиры в клеточной мембране нейрона помогают посылать электрический импульс в клетки. Тем самым сигнал о боли поступает в мозг, а ферменты и калиевые каналы облегчают неприятные ощущения. Однако избыток холестерина в мембране может заблокировать способность клеток к обезболиванию. Вероятно, это объясняет хроническую боль при диабете и волчанке. Исследование опубликовано в журнале eLife.

Холестерин астроцитов регулирует TREK-1 посредством липидов GM1 и пространственного паттернирования.
Растирание раны часто помогает уменьшить боль. Этому способствует давление на клетки, которые блокируют болевые сигналы. Клетки окружены внешней липидной мембраной — совокупностью пор, каналов, рецепторов и скоплений холестерина, удерживаемых на месте точно расположенными молекулами липидов.
«В мембране есть два типа жиров: один жидкий, как оливковое масло, а второй содержит холестерин и встречается в виде крошечных твердых комочков, больше похожих на свиное сало», — рассказал Скотт Хансен, соавтор исследования из Научно-исследовательского института Скриппс.
Чтобы человек почувствовал боль, сообщение о воздействии на тело должно преобразоваться в потенциал действия, который попадет в мозг. Он поможет активировать естественные болеутоляющие реакции и уменьшить тяжесть боли. Ранее ученые обнаружили фермент фосфолипазу D2 (PLD2), который особенно чувствителен к механическим воздействиям и активирует калиевый канал TREK-1, облегчающий болевые ощущения. Однако до сих пор не было известно, как PLD2 и TREK-1 активируются клеточной мембраной.
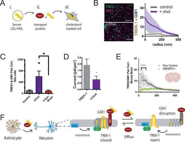
Американские исследователи решили выяснить, какую роль играют молекулы липидов в болевых ощущениях. Для этого они использовали оптическую микроскопию с суперразрешением, которая позволяет добиться молекулярного уровня картинки, и применили давление и растяжение на клетках. Оказалось, что липиды клеточных мембран помогают посылать электрический импульс в клетки после механического воздействия на них. По-видимому, липиды регулируют действие PDL2, от которого зависит калиевый канал TREK-1. Однако избыток холестерина в клеточной мембране нейрона, препятствовал этому процессу: молекулы жира временно блокировали способность клеток активировать обезболивание. По словам исследователей, это может объяснять хронические боли пациентов с диабетом или волчанкой. При этом, судя по всему, холестерин, регулирующий канал TREK-1, поступает из астроцитов.
«В целом, исследование Петерсена и коллег показывает, что мембрана нервных клеток может содержать особые «жировые датчики» на основе холестерина, которые помогают обнаруживать внешние воздействия и участвуют в регуляции боли. Проанализировав эти процессы, возможно, удастся лучше понять и лечить такие заболевания, как диабет и волчанка, которые связаны как с болевой чувствительностью, так и с повышенным уровнем холестерина в тканях», — комментирует статью редакция eLife.
В будущем ученые планируют выяснить, как структура мембранного холестерина в клетках головного мозга влияет на связь между болью и воспалением. Результаты исследования помогут разработать новые виды неопиоидной терапии для людей, страдающих хронической болью.
Текст: Ксения Земскова, Алексей Паевский
E Nicholas Petersen, Mahmud Arif Pavel, Samuel S Hansen, Manasa Gudheti, Hao Wang, Zixuan Yuan, Keith R Murphy, William Ja, Heather A Ferris, Erik Jorgensen, Scott B Hansen,(2024) Mechanical activation of TWIK-related potassium channel by nanoscopic movement and rapid second messenger signaling eLife 12:RP89465.
Свежие комментарии